Six Month Smile (Clear Braces)
Six Month Smiles has taken the best aspects of braces and modified the treatment and the materials to give adults a cosmetic solution that fits your lifestyle. Clear Braces, Straight Teeth in about Six Months
Improve your smile, enhance your life!
Start with a FREE Smile Consultation to see what is possible.
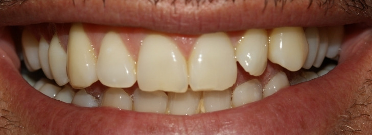
Dental Veneers
Six Month Smiles has taken the best aspects of braces and modified the treatment and the materials to give adults a cosmetic solution that fits your lifestyle. Clear Braces, Straight Teeth in about Six Months
Why Choosing Dental Care of
Stamford is a Best Option for You
Finding the right dentist can be a challenge. Among other things, you want a dental expert who has extensive experience in their specialty, who will listen to you and will help you choose the right procedure. Dental Care Stamford prides itself on doing all of this and more. We strive to be the best dental experience you’ll ever have.
Opens 7 Days a Week
Nights & Weekends
Access to a Team of
Every Dental Specialist
Emergency Dental Care
Same Day Appointments
Personalized Care
and Attention
Locally Owned
for 40+ years
TVs with
Hulu & Netflix
Sedation
Dentistry
Free On-Site
Parking
You May Also Be Interested In These Services
Got Headaches?
The Source of your pain could be from an uneven bite. Dr. Simon’s 5 Minute Test will prove that his treatment will get rid of your pain! No drugs, no surgery.
General Dentistry
At Dental Care of Stamford you’ll find the highest quality adult dental care available today. Get your dental exams, X-rays, teeth cleaning and more!

































