fbpx

Build a Career That Makes People Smile: View Open Positions

The Dental Blog

Make an Appointment
Articles Case Studies Cosmetic Dentistry How To Orthodontics
Dr Jerry Simon August 28th, 2024

Everything You Need to Know Before Choosing The RIGHT Cosmetic Dentist:

Everything You Need to Know Before Choosing The RIGHT Cosmetic Dentist:

Not every dentist is a cosmetic dentist. If you want to improve your smile, you need a dentist trained specifically in cosmetic dentistry. Since cosmetics is as much art as it is science, here are some questions you should ask:

  • Can you show me examples of real cases you have treated with full-face photos?
  • Can you give me several options to improve my smile?
  • What are the three aspects of color relating to teeth?
  • What is the Golden Proportion Rule in dentistry?
  • What training program have you completed in cosmetic dentistry?

 

Understanding There Is More to It To Achieve an Incredible Smile

At Dental Care Stamford, we believe that cosmetic dental care goes beyond simply placing white porcelain veneers, caps on teeth or putting them in braces and that’s it. True cosmetic care starts with understanding the personal desires of the patient, assessing their current dental condition, and determining a customized plan that aligns with their desires, timetable, and budget.

Customized Care Tailored to Your Needs

We understand that every smile is unique. Our approach is comprehensive, taking into consideration the various factors that contribute to the aesthetics and health of your smile. Often, achieving the best results requires a team effort, involving multiple dental specialists:

  • A periodontist to prepare the gums
  • An orthodontist to move teeth into the optimal position
  • A certified dental ceramicist to craft custom porcelain veneers
  • Professionals for teeth bleaching and other cosmetic enhancements

By having all these specialists under one roof, Dental Care Stamford offers a collaborative and integrated approach to cosmetic dentistry. This eliminates the need for referrals and separate appointments, making your journey to an incredible smile seamless and convenient.

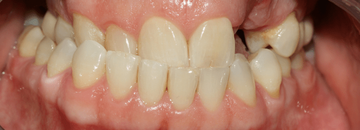
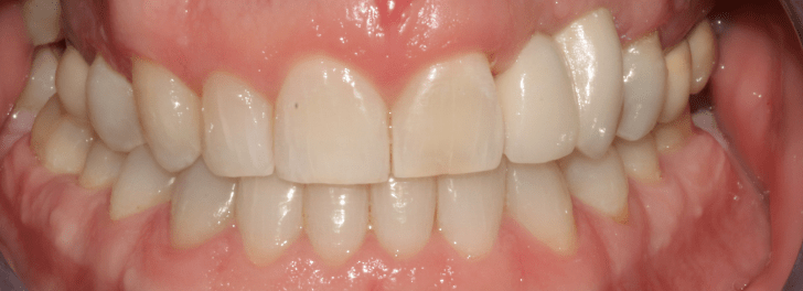
Real Results, Real People

3 very unique great cases and we bet you cannot tell what we did to create these results. Continue reading to learn what we did to create these stunning results and why we chose to use that treatment method. 

Test Test
Test Test
Test Test

READ BELOW TO LEARN ABOUT THE STORY BEHIND THEIR SMILES

Understanding Cosmetic Dentistry: Key Concepts

To make informed decisions about your cosmetic dental care, it’s helpful to understand some fundamental concepts:

  1. Three Aspects of Color in Teeth: Hue (the color itself), chroma (the intensity of the color), and value (the brightness of the color).
  2. Golden Proportion Rule: A principle that helps in designing a smile that is harmonious and aesthetically pleasing by ensuring the proportions of the teeth are balanced.
  3. Comprehensive Training: Our dentists undergo rigorous training in cosmetic dentistry to stay updated with the latest techniques and technologies, ensuring you receive the highest quality care.

Options for Every Smile

Most people aren’t sure what they need or want when they seek cosmetic dental care. You might be considering straightening your teeth or getting dental veneers, but it’s not just about choosing braces or veneers—it’s about achieving an incredible smile that boosts your confidence.

Our experts at Dental Care Stamford will guide you through various options, explaining the benefits and considerations of each, and helping you make an informed decision. Whether it involves orthodontic treatment, veneers, whitening, or a combination of these, we create a tailored plan to achieve results you’ll be proud to show off.

The Story Behind the Smile

1.) Dariusz, frustrated with his upper jaw crossbite and missing front teeth, was overwhelmed by previous recommendations of major surgery and years of braces. Dr. Simon suggested the Six Month Smiles system to correct his teeth in a year, followed by an implant. In 11 months, the crossbite was fixed, and our team coordinated to place the implant perfectly. Dr. Neichen completed the implant in one visit, and Dr. Simon created a fixed dental bridge in two visits, resulting in a spectacular, natural-looking smile without surgery, thanks to our team’s collaboration.

2.) Mary had a very crooked bite and disliked her smile. Another dental office told her she needed 10 veneers or crowns, or 2 years of braces—options that were beyond her budget and patience. When she came to us, we discovered our clear braces treatment could achieve her desired results in just 8 months, fitting perfectly within her budget and timeframe. She now has a stunning new smile.

3.) Chris, unfortunately, sought cosmetic work elsewhere without a list of essential questions to ask her previous dentist. That dentist lacked knowledge of the golden proportion rule and likely had not undergone the specialized training required to master it. When Chris found us, we were able to transform her smile into something natural and beautiful by applying all three key concepts and taking the time to understand her smile’s unique needs and desires. Since she already had oversized and out-of-proportion veneers, Dr. Neichen, our in-house periodontist, sculpted her gum tissue so Dr. Simon could restore the proper proportions for her new veneers.

Your Journey Starts with a Free Consultation

Your smile is a crucial part of your appearance, and you deserve the best care possible. By choosing a dentist who meets the criteria mentioned earlier, you can ensure stunning and satisfying results.

Most people are not sure what they want or what is even possible. All you know is that you want an incredible smile. Begin your journey to a stunning new smile with a free consultation at Dental Care Stamford. During this initial visit, we’ll discuss your goals, evaluate your dental health, and explore the possibilities together. Let us help you achieve a smile that you will be proud of for years to come.

Contact us today to schedule your free consultation and discover what is possible for your smile! 203-324-6171

Signup for Exclusive Tips

    Related Posts