Orthodontist in Stamford, CT
Voted Best Orthodontist 10+ Years in a Row
YOU DON’T WANT AN ORTHODONTIST, WHAT YOU ACTUALLY WANT IS A CAPTIVATING SMILE.
To have a captivating smile, you need to find a great orthodontist and an excellent dental team to work with.
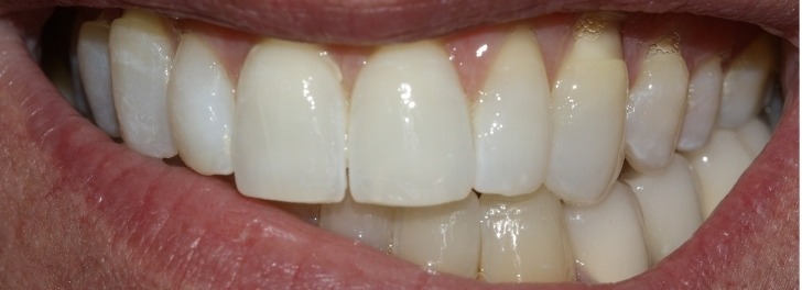
This patient achieved a stunning smile by choosing Dental Care of Stamford. With our Adult Braces treatment, you can enjoy impressive results in about six months using nearly invisible, tooth-colored wires and clear braces that seamlessly fit into your lifestyle.
A captivating smile often requires more than just braces. You might also benefit from teeth whitening, gum care from a periodontist, or cavity treatment. At Dental Care of Stamford, every dental specialist is under one roof. Our team will collaborate to assess your needs, explore all options, and create a customized plan that fits your time and budget. From minor adjustments to complete smile makeovers, we’re dedicated to helping you achieve the smile you’ve always wanted. It’s never too late to start—schedule your FREE consultation with one of our Orthodontists today and discover your smile’s full potential!
WE'RE HERE TO GIVE YOU A CAPTIVATING SMILE
JUST LIKE WE HAVE FOR ALL OUR WONDERFUL PATIENTS!
VIEW MORE SMILES
Here's the truth about a captivating smile
- The only way to discover your best options is through a consultation where we can address your concerns and explore all possibilities.
- No single dentist can handle every treatment alone. Achieving your best smile may involve implants, teeth straightening, veneers, whitening, contouring, or general dental treatment—sometimes all together.
- That's why, at Dental Care of Stamford, we offer the convenience of having all dental specialists in one location, ready to analyze your case, provide the best options, and complete your treatment— all under on roof!
LEARN MORE ABOUT:
Orthodontists
WHY SHOULD YOU SEE AN ORTHODONTIST?
Straighten Crooked Teeth
Orthodontists specialize in aligning and straightening crooked teeth, giving you a more attractive and confident smile.
Correct Bite Issues
Orthodontic treatments can correct bite issues, such as overbites, underbites, and crossbites, improving both function and appearance.
Boost Self Confidence
Working with an orthodontist to achieve a well-aligned smile can significantly boost your self-esteem and confidence, helping you feel better in social settings.
Long-Term Oral Health Benefits
Orthodontic treatment provides long-term benefits for your oral health, including improved function, aesthetics, and overall well-being.
Frequently Asked Questions
Answers to Your Questions
Braces can present some challenges in cleaning, but with the right tools and techniques, you can maintain excellent oral hygiene. Brushing and flossing, as usual, remain important. Learn more about life during orthodontic treatment.
Always consult directly with an orthodontist to get personalized answers and recommendations. Each individual’s orthodontic journey is unique, and professional advice is invaluable in making informed decisions.
While there might be some discomfort initially or after adjustments, most people adapt quickly. Discomfort is usually manageable with over-the-counter pain relievers.
Retainers help maintain the results of braces or aligners. Your orthodontist will likely advise you to wear your retainer for an extended period.
Compared to children, your timeline for orthodontic treatment may be longer. Adult teeth are more firmly set in the jaw than younger candidates. It takes more time and pressure to move teeth to their desired position.
Yes. Healthy teeth can be moved at any age. Many orthodontic problems can be corrected as easily for adults as for children. Orthodontic forces move the teeth in the same way for both adults and children, but adult treatment may take longer due to the maturity of the bone. Complicating factors, such as lack of jaw growth, may create different treatment planning needs for the adult. This is why a consultation with an orthodontist, the dental specialist who aligns teeth and jaws of patients of all ages, is essential.
Request more information
CHOOSE DENTAL CARE OF STAMFORD AS YOUR NEW DENTIST
THERE ARE MANY DENTISTS OUT THERE, BUT HERE’S WHY WE HOPE YOU’LL CALL US!
Always Accessible
We’re open 7 days a week, early morning to late at night to help fit your schedule. We do 24/7 emergencies as well.
Instant Access
We can get you in “right away’, not just next week or later. Same day appts available.
Specialists In-House
We can do EVERY dental treatment at this one location. All our specialists are onsite.
Family Centered
We are a family dentist with an office for Adults, Kids, and Orthodontics all in one!
Open Communication
We focus on communication & education. There’s no rush, we take our time with you.
Consistent Care
We build relationships, You get the same dentist & hygienist who know you, every time.
Comfortable Visits
Our office is warm & inviting. We have Netflix, Hulu, a dental spa, and sedation available.
Flexible Financing
We take virtually every insurance. We also have financing available and an in-house plan.
HAVE QUESTIONS ABOUT US? GET TO KNOW US BETTER BELOW
Answers to Your Questions
Stamford, CT, named for Stamford, Lincolnshire, England, is located on the Long Island Sound and was a popular place for New Yorkers to build summer homes in the late 1800s. Many loved the area so much that they moved here permanently and commuted to the city by train to work and conduct their business. Just as those new residents found the quaint town of the day to have a unique charm, we join the other Stamford residents of today who love this city for its special flair. Many people find this surprising because New Haven and Bridgeport are the only cities in Connecticut with higher populations than Stamford. Still, its long history has helped it develop into a truly unique modern municipality. Seated about halfway between New York City and New Haven, this city of around 130,000 is considered to be part of the New York metropolitan area, but offers residents more of a hometown feel.
Part of the reason for that small-town charm and comfort level in Stamford is its low crime rate. FBI statistics show that our city is the 16th safest of the 269 cities in the country. This is quite an achievement for an area that is part of the largest metropolis in the country. Crime control is one of the many things that contribute to residents choosing Stamford as their home. Compared with similar-sized cities, both in Connecticut and in the rest of the country, it is rare to find a safe haven like this. There is certainly a direct correlation between the city’s economic growth in recent years and the low crime rate that our citizens enjoy.
Stamford is a thriving economy in and of itself, with the largest financial district in the metropolitan area, aside from Manhattan. As the home of nine Fortune 500 companies, Stamford features one of the most concentrated centers of corporations in the entire country. Norwalk Community College and UConn Stamford are located here, along with several other popular schools, bringing new minds to the city and encouraging the local economy’s growth. Some of the dominant sectors of the current economy include retail, transportation, telecommunications, health care, information technology, tourism, and financial services. There is no other place for our office to make its home with a vibrant urban pulse like this.
Yes! We offer complete care for the entire family. For your convenience, we offer 3 unique practices in a single location: Dental Care of Stamford (for adults), Dental Care Kids (for kids), and Dental Care Orthodontics.
Yes, you can! Most dentists don’t do this. Many other dental offices will refer patients to specialists for anything beyond basic dental work, but at Dental Care of Stamford we do it all.
We have on staff every dental specialist there is and working in-house at our location. We offer a full range of dental services – whatever it is you need, we can help. No problem is too big or too small.
We try to be the most available dentist in Stamford, Connecticut. We are currently open 7 days a week, and open many evenings.
We know that not everyone is available to see a dentist during traditional work hours. For our current hours, please visit this link: https://dentalcarestamford.com/contact-us/
For emergencies, please contact us ASAP and we will schedule a same-day appointment immediately – https://dentalcarestamford.com/services/dental-emergencies/
We would love for you to meet our team! Here is some basic information about them on our website – https://dentalcarestamford.com/meet-our-doctors/
We offer a free consultation to anyone who is thinking about cosmetic dental work.
You can also meet one of our dentists by scheduling a visit for a general exam, x-ray & cleaning. Please call our office to schedule an appointment.
This is one of our most common question and the answer is always – it depends. Patients often think they need something specific, but we won’t actually know what you need until we are able to do an exam.
Our promise to you is that we will always communicate everything clearly to you. We will always tell you exactly what is going on with your dental situation. You will always know what the costs are.
We do our best to make dental work as affordable as possible by (a) working with virtually any dental insurance, (b) providing financing options, and (b) providing in-house plans if you have no insurance.
Everyone wants to save money where they can and great dental care is no exception. The best way to save money on expensive repairs is to NOT TO NEED THEM so we put great emphasis on preventing dental problems and catching them as early as possible. Our dental hygiene team is available 7 days a week so that we make regular, consistent, preventive care as easy as possible for you. And with all specialists you need in one location it is easier than ever to get the care you need as early and as quickly as possible.
We also want everyone to know that the best time to see a dentist is now. The longer you wait, the bigger problems get and the more expensive the treatment will need to be to fix it. If you need dental work done, please call us as soon as possible and we will take care of you.
VOTED BEST IN STAMFORD, BECAUSE WE TREAT OUR PATIENTS LIKE FAMILY
THE COMMUNITY KNOWS:
WE MAKE SURE YOU’RE ALWAYS TAKEN CARE OF
Google Reviews
|
Dental Care Stamford
1500 Summer Street, Stamford
4.7 1,046 reviews
-
monika DentalCare ★★★★★ a month ago
Amazing cleaning with Estefania. She was not only knowledgeable, gentle, but also precise. The best hygienist ever! -
Lauren D ★★★★★ a month ago
-
Cannon Garber ★★★★★ a month ago
To Whom it May Concern,
I have been going to Dental Care of Stamford for 15 years. I had previously been going to a dentist elsewhere in Fairfield county for six years until a filling was overfilled and … More split my moler.
The team at Dental Care is unsurpassed. They combine consummate professionalism with welcoming warmth.
Over the years I have interacted with many there. My first contact was with Dr. Simon, the indefatigable leader of this thriving practice. At every juncture of my evolving needs, Dr. Simon brought together the right team for me: Paula, Mimi, and Doctor Rools, among other highly competent members of the Dental Care team – too numerous to mention. They are like family.
When a more serious need required two surgeries, Dr. Simon conferred with the dental surgeon, Dr. Rools, to formulate my plan. Dr. Rools is one of the most gentle, calming doctors I have ever met. He carefully explained the procedures and invited my husband to join discussions of the operations so that he could answer any questions we had, also attending to my fears.
I feel grateful to live near enough to Dental Care of Stamford to be able to be in their unparalleled care.
CG -
Jason Safriet ★★★★★ a month ago
I need to give a shout out to 3 amazing people that helped me through an extraction of my Molar. Dr Rools was the man. A beast! He calmly got that dam tooth out with a great bed side manner. But … More he didn’t do it alone… there was dear ‘ole Nelly that provided confidence that all will be ok.. especially the nitrous oxide! Amazing. Lastly there was Mimi.. she was awesome. She stood by my side and even held my hand when they were literally jack hammering my tooth. If felt like a rock quarry in my mouth. But I couldn’t have asked for a better 3 person crew. I hope you never need a tooth extraction .. I wouldn’t wish it on my worst enemy ..( maybe ). But If you do then make sure it’s these 3 superstars ! J -
Phylisha Hardware ★★★★★ a month ago
My first time at Dental Care and the experience was so great! Joanne did an amazing job with cleaning and Dr. Patel did my fillings in the front to perfection. Oh and Mimi you did an incredible job with … More budgeting, we worked out my financing so smooth. Thank you so much Mimi, you really made me feel comfortable, customer service was beyond top tier. Finally found a Dental home. -
Dave Rich ★★★★★ a month ago
Mimi was awesome, caring and responsible!! As was Dr. Roth!
Contact Us Today
Ready For A Healthier Smile?
Book your appointment today and take the first step
towards a brighter, healthier future with us!





