Cosmetic Dentist in Stamford, CT
Cosmetic Dentistry is a Combination of science and art
YOU DON’T WANT JUST ANY DENTIST,
YOU WANT AN INCREDIBLE SMILE
To have an incredible smile, you need a great dentist and an excellent team to work with.
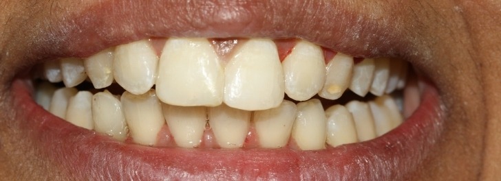
This patient came away with an incredible smile because she chose Dental Care of Stamford.
We have specialists to analyze and discuss your concerns so you can have options to get the great smile you really desire to fit your time and budget. From minor tweaks to complete smile makeovers—and everything in between—we’re here to help you achieve the smile you’ve always wanted. It’s never too late to start! Start with a FREE Consultation and see what is possible.
WE'RE HERE TO GIVE YOU AN INCREDIBLE SMILE
JUST LIKE WE HAVE FOR ALL OUR WONDERFUL PATIENTS!
VIEW MORE SMILES
Here's the truth about a truly great smile
- The only way to discover your best options is through a consultation where we can address your concerns and explore all possibilities.
- No single dentist can handle every treatment alone. Achieving your best smile may involve implants, teeth straightening, veneers, whitening, or contouring—sometimes all together.
- That's why, at Dental Care of Stamford, we offer the convenience of having all dental specialists in one location, ready to analyze your case, provide the best options, and complete your treatment— all under on roof!
LEARN MORE ABOUT:
COSMETIC DENTISTRY
WHY GO TO A COSMETIC DENTIST?
Complete Smile Makeover
Receive a full smile transformation. Cosmetic dentists can combine multiple treatments, such as whitening, reshaping, etc. to give you a complete smile makeover.
Boost Your Confidence
An improved smile doesn’t just look great; it can have a profound impact on your mental health and self-confidence. Get the confidence boost you deserve!
Worth the Investment
The long-lasting results of cosmetic dentistry mean that you’ll enjoy the benefits of your investment for years to come, reducing the need for frequent touch-ups or additional treatments.
Fast & Effective Results
Achieve noticeable improvements in a shorter time frame. Cosmetic dental treatments often provide quick results, allowing you to enjoy your new smile faster.
Frequently Asked Questions
Answers to Your Questions
Cosmetic dentistry encompasses many types of treatment options. To achieve your perfect smile, the following are just a few examples of the options patients are often interested in.
Whitening Your Teeth
At Dental Care of Stamford, we offer two effective methods of whitening your teeth—tooth bleaching and at-home whitening. Bleaching is a safe, easy, effective solution for patients who prefer to seek professional expertise to help them look their best. To be considered a suitable candidate for tooth bleaching, your teeth should be properly shaped and aligned, without evidence of decay or many visible crowns or fillings in the teeth that show when you smile.
At-home whitening is a simple, cost-effective way to whiten your teeth from the comfort of your own home. This method is perfect for people with discolored yet healthy teeth who want to whiten their smile immediately. Our dentists will provide you with a solution that can whiten your teeth within days and offer support and advice while supervising the process to ensure you receive the maximum results.
Straightening Your Teeth
Cumbersome, uncomfortable, unsightly metal braces are no longer the only available option for successfully straightening your teeth. Cosmetically focused orthodontics at Dental Care of Stamford features the acclaimed Six Month Smiles system, in which you can choose between invisible aligners or clear braces to fix the alignment of your teeth. Invisible aligners are ideal for mild gaps or crowding, while clear braces made of nickel-titanium wires and composite brackets help patients with more complicated cases that require further movement of the teeth.
Both appliances are discreet, effective, and only take six months to work. Rather than suffering discomfort and being forced to live with ugly metal braces for two years, Six Month Smiles appliances offer you a much better alternative. They allow you to benefit from a simple, comfortable orthodontic treatment that is usually less expensive than metal braces and almost impossible to notice.
Replacing Your Teeth
Missing teeth limit your ability to bite, chew, or speak properly and can cause detrimental movement of other teeth that further impedes functionality. The most natural-looking way to replace missing teeth, dental implants are made of a metal post that acts as an artificial tooth root and is embedded in your jawbone, topped with a crown that mimics the appearance of a natural tooth. These implants require several months to heal but usually last a lifetime, making them a wise investment for your future.
Gum Reconstruction
Our experts can also improve your smile through gum reconstruction. If you think your teeth are too short, you should consider that the length of your teeth isn’t the problem—your gums are. When you have too much gum tissue, it can cover your teeth and hinder your smile. Crown lengthening removes this excess tissue, carefully sculpting your gums to expose more of your teeth. If you think your teeth are too long or if the roots are exposed, this is likely due to gum recession. Soft tissue grafts can remedy this problem, covering your roots and reducing further recession.
Yellow teeth can be whitened by bleaching them or by putting porcelain veneers or crowns on them. If the teeth are not extensively decayed or filled and generally good looking, except for the yellow color, bleaching is the easier, most conservative and least expensive option.
If you have old fillings or crowns, don’t be concerned. Bleach your teeth and then, when you are happy with the results, we can replace old fillings or crowns to match your new whiter smile.
Cosmetic dental procedures can be accomplished in as few as two visits over as little as a week or two. Of course, every patient’s situation is different so you need to discuss your specific requirements and circumstances with us prior to starting any cosmetic work.
Cosmetic dentistry can give you the smile you want. Here are some common problems that can be addressed:
- Dark, yellow or discolored teeth
- Crooked teeth
- Worn, chipped or broken teeth
- Missing teeth
- Disproportionately sized teeth
- Spaces between the teeth
- Crowded teeth
- Protruding teeth
- Replacing old unsightly dental work
- Gum recession
Request more information
CHOOSE DENTAL CARE OF STAMFORD AS YOUR NEW DENTIST
THERE ARE MANY DENTISTS OUT THERE, BUT HERE’S WHY WE HOPE YOU’LL CALL US!
Always Accessible
We’re open 7 days a week, early morning to late at night to help fit your schedule. We do 24/7 emergencies as well.
Instant Access
We can get you in “right away’, not just next week or later. Same day appts available.
Specialists In-House
We can do EVERY dental treatment at this one location. All our specialists are onsite.
Family Centered
We are a family dentist with an office for Adults, Kids, and Orthodontics all in one!
Open Communication
We focus on communication & education. There’s no rush, we take our time with you.
Consistent Care
We build relationships, You get the same dentist & hygienist who know you, every time.
Comfortable Visits
Our office is warm & inviting. We have Netflix, Hulu, a dental spa, and sedation available.
Flexible Financing
We take virtually every insurance. We also have financing available and an in-house plan.
HAVE QUESTIONS ABOUT US? GET TO KNOW US BETTER BELOW
Answers to Your Questions
Stamford, CT, named for Stamford, Lincolnshire, England, is located on the Long Island Sound and was a popular place for New Yorkers to build summer homes in the late 1800s. Many loved the area so much that they moved here permanently and commuted to the city by train to work and conduct their business. Just as those new residents found the quaint town of the day to have a unique charm, we join the other Stamford residents of today who love this city for its special flair. Many people find this surprising because New Haven and Bridgeport are the only cities in Connecticut with higher populations than Stamford. Still, its long history has helped it develop into a truly unique modern municipality. Seated about halfway between New York City and New Haven, this city of around 130,000 is considered to be part of the New York metropolitan area, but offers residents more of a hometown feel.
Part of the reason for that small-town charm and comfort level in Stamford is its low crime rate. FBI statistics show that our city is the 16th safest of the 269 cities in the country. This is quite an achievement for an area that is part of the largest metropolis in the country. Crime control is one of the many things that contribute to residents choosing Stamford as their home. Compared with similar-sized cities, both in Connecticut and in the rest of the country, it is rare to find a safe haven like this. There is certainly a direct correlation between the city’s economic growth in recent years and the low crime rate that our citizens enjoy.
Stamford is a thriving economy in and of itself, with the largest financial district in the metropolitan area, aside from Manhattan. As the home of nine Fortune 500 companies, Stamford features one of the most concentrated centers of corporations in the entire country. Norwalk Community College and UConn Stamford are located here, along with several other popular schools, bringing new minds to the city and encouraging the local economy’s growth. Some of the dominant sectors of the current economy include retail, transportation, telecommunications, health care, information technology, tourism, and financial services. There is no other place for our office to make its home with a vibrant urban pulse like this.
Yes! We offer complete care for the entire family. For your convenience, we offer 3 unique practices in a single location: Dental Care of Stamford (for adults), Dental Care Kids (for kids), and Dental Care Orthodontics.
Yes, you can! Most dentists don’t do this. Many other dental offices will refer patients to specialists for anything beyond basic dental work, but at Dental Care of Stamford we do it all.
We have on staff every dental specialist there is and working in-house at our location. We offer a full range of dental services – whatever it is you need, we can help. No problem is too big or too small.
We try to be the most available dentist in Stamford, Connecticut. We are currently open 7 days a week, and open many evenings.
We know that not everyone is available to see a dentist during traditional work hours. For our current hours, please visit this link: https://dentalcarestamford.com/contact-us/
For emergencies, please contact us ASAP and we will schedule a same-day appointment immediately – https://dentalcarestamford.com/services/dental-emergencies/
We would love for you to meet our team! Here is some basic information about them on our website – https://dentalcarestamford.com/meet-our-doctors/
We offer a free consultation to anyone who is thinking about cosmetic dental work.
You can also meet one of our dentists by scheduling a visit for a general exam, x-ray & cleaning. Please call our office to schedule an appointment.
This is one of our most common question and the answer is always – it depends. Patients often think they need something specific, but we won’t actually know what you need until we are able to do an exam.
Our promise to you is that we will always communicate everything clearly to you. We will always tell you exactly what is going on with your dental situation. You will always know what the costs are.
We do our best to make dental work as affordable as possible by (a) working with virtually any dental insurance, (b) providing financing options, and (b) providing in-house plans if you have no insurance.
Everyone wants to save money where they can and great dental care is no exception. The best way to save money on expensive repairs is to NOT TO NEED THEM so we put great emphasis on preventing dental problems and catching them as early as possible. Our dental hygiene team is available 7 days a week so that we make regular, consistent, preventive care as easy as possible for you. And with all specialists you need in one location it is easier than ever to get the care you need as early and as quickly as possible.
We also want everyone to know that the best time to see a dentist is now. The longer you wait, the bigger problems get and the more expensive the treatment will need to be to fix it. If you need dental work done, please call us as soon as possible and we will take care of you.
VOTED BEST IN STAMFORD, BECAUSE WE TREAT OUR PATIENTS LIKE FAMILY
THE COMMUNITY KNOWS:
WE MAKE SURE YOU’RE ALWAYS TAKEN CARE OF
Google Reviews
|
Dental Care Stamford
1500 Summer Street, Stamford
4.7 1,046 reviews
-
monika DentalCare ★★★★★ a month ago
Amazing cleaning with Estefania. She was not only knowledgeable, gentle, but also precise. The best hygienist ever! -
Lauren D ★★★★★ a month ago
-
Cannon Garber ★★★★★ a month ago
To Whom it May Concern,
I have been going to Dental Care of Stamford for 15 years. I had previously been going to a dentist elsewhere in Fairfield county for six years until a filling was overfilled and … More split my moler.
The team at Dental Care is unsurpassed. They combine consummate professionalism with welcoming warmth.
Over the years I have interacted with many there. My first contact was with Dr. Simon, the indefatigable leader of this thriving practice. At every juncture of my evolving needs, Dr. Simon brought together the right team for me: Paula, Mimi, and Doctor Rools, among other highly competent members of the Dental Care team – too numerous to mention. They are like family.
When a more serious need required two surgeries, Dr. Simon conferred with the dental surgeon, Dr. Rools, to formulate my plan. Dr. Rools is one of the most gentle, calming doctors I have ever met. He carefully explained the procedures and invited my husband to join discussions of the operations so that he could answer any questions we had, also attending to my fears.
I feel grateful to live near enough to Dental Care of Stamford to be able to be in their unparalleled care.
CG -
Jason Safriet ★★★★★ a month ago
I need to give a shout out to 3 amazing people that helped me through an extraction of my Molar. Dr Rools was the man. A beast! He calmly got that dam tooth out with a great bed side manner. But … More he didn’t do it alone… there was dear ‘ole Nelly that provided confidence that all will be ok.. especially the nitrous oxide! Amazing. Lastly there was Mimi.. she was awesome. She stood by my side and even held my hand when they were literally jack hammering my tooth. If felt like a rock quarry in my mouth. But I couldn’t have asked for a better 3 person crew. I hope you never need a tooth extraction .. I wouldn’t wish it on my worst enemy ..( maybe ). But If you do then make sure it’s these 3 superstars ! J -
Phylisha Hardware ★★★★★ a month ago
My first time at Dental Care and the experience was so great! Joanne did an amazing job with cleaning and Dr. Patel did my fillings in the front to perfection. Oh and Mimi you did an incredible job with … More budgeting, we worked out my financing so smooth. Thank you so much Mimi, you really made me feel comfortable, customer service was beyond top tier. Finally found a Dental home. -
Dave Rich ★★★★★ a month ago
Mimi was awesome, caring and responsible!! As was Dr. Roth!
Contact Us Today
Ready For A Healthier Smile?
Book your appointment today and take the first step
towards a brighter, healthier future with us!





